Blastomyces Dermatitidis: El Hongo Causante De La Blastomicosis

Blastomyces dermatitidis: el hongo causante de la blastomicosis es un patógeno fúngico que se encuentra en suelos húmedos y ricos en materia orgánica. Es responsable de una enfermedad conocida como blastomicosis, que puede afectar a humanos y animales.

La infección se produce por inhalación de las esporas del hongo y puede ser grave si no se trata adecuadamente. En este artículo exploraremos los síntomas, diagnóstico y tratamiento de la blastomicosis causada por Blastomyces dermatitidis.

¿Qué es la blastomyces dermatitidis?

Blastomyces dermatitidis es un hongo dimórfico que causa blastomicosis, una infección fúngica sistémica. En este artículo, se describirán las características del hongo, su ciclo de vida y la patología asociada a la blastomicosis.

Características de Blastomyces dermatitidis

Blastomyces dermatitidis es un hongo termo-tolerante que se encuentra en el suelo y la vegetación en áreas endémicas de América del Norte, especialmente en los valles fluviales de los Grandes Lagos y el río Mississippi. El hongo tiene dos fases de crecimiento: una fase micelial filamentosa que vive en el suelo y una fase levaduriforme que se encuentra en los tejidos humanos y animales afectados por la infección.

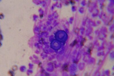
La forma micelial de B. dermatitidis es septada e hifal. Las hifas son aplanadas y ramificadas en ángulo recto. La colonia de hongos en Agar Sabouraud se ve rugosa y blanquecina. La forma levaduriforme tiene una estructura redondeada o elipsoidal y mide entre 8 y 15 micras de diámetro. Las células son gruesas y contienen una pared celular resistente y una cápsula. La coloración de la célula es parduzca y granulada, lo que le da un aspecto similar a una pelota de béisbol.

Ciclo de vida de Blastomyces dermatitidis

El ciclo de vida de Blastomyces dermatitidis comienza con la formación de conidios en la forma micelial del hongo en el suelo. Los conidios son liberados al aire y pueden ser inhalados por humanos y animales. Los conidios se transforman en levaduras en los pulmones de los huéspedes infectados, y luego se propagan a otros tejidos del cuerpo.

La forma levaduriforme de B. dermatitidis se multiplica por gemación, lo que significa que una célula madre produce una célula hija en su superficie. Las células hijas crecen hasta convertirse en células maduras y comienzan el proceso de gemación nuevamente. Las células hijas se liberan y forman una colonia de hongos en los tejidos afectados.

Patología asociada a la blastomicosis

La blastomicosis es una infección fúngica que puede afectar a cualquier parte del cuerpo, pero generalmente afecta los pulmones, la piel y los huesos. La enfermedad puede ocurrir tanto en humanos como en animales, especialmente en perros. La blastomicosis se adquiere al inhalar esporas del hongo, generalmente en áreas endémicas.

Lee TambiénCoccidioides ImmitisCoccidioides Immitis: El Hongo Causante De La Coccidioidomicosis O Fiebre Del Valle

Los síntomas de la blastomicosis pueden variar según la ubicación y la gravedad de la infección. En casos leves, los síntomas pueden incluir fiebre, fatiga y tos. En casos más graves, la infección puede diseminarse a otros órganos y causar lesiones cutáneas, dolor en los huesos y fiebre prolongada.

El tratamiento de la blastomicosis depende del tipo y la gravedad de la infección. Los medicamentos antifúngicos, como el itraconazol y el anfotericina B, son efectivos para la mayoría de los casos. En algunos casos graves, puede ser necesario un tratamiento hospitalario y la administración de medicamentos intravenosos.

Síntomas de la blastomicosis y cómo se diagnostica

La blastomicosis es una infección fúngica causada por el hongo Blastomyces dermatitidis. Los síntomas de la blastomicosis pueden variar, pero comúnmente incluyen fiebre, tos, dolor en el pecho, sudores nocturnos y fatiga. También puede haber lesiones cutáneas que pueden aparecer como ampollas o úlceras.

El diagnóstico de la blastomicosis se realiza mediante la identificación del hongo en una muestra de tejido o fluido corporal. Esto puede ser hecho a través de una biopsia pulmonar, cultivo de esputo, cultivo de sangre o análisis de líquido cefalorraquídeo.

Es importante buscar atención médica si se sospecha que se padece de blastomicosis, ya que puede ser una enfermedad grave si no se trata adecuadamente. El tratamiento generalmente incluye antifúngicos como el itraconazol o el anfotericina B.

Tratamiento y prevención de la infección por Blastomyces dermatitidis

Blastomyces dermatitidis: es un hongo que causa la enfermedad conocida como blastomicosis. Esta infección puede afectar a humanos y animales, y se encuentra principalmente en áreas con suelos húmedos y ricos en materia orgánica, como bosques y zonas pantanosas.

Tratamiento: La blastomicosis es una enfermedad grave que requiere tratamiento médico. El fármaco de elección es el itraconazol, administrado durante al menos 6 meses. En casos más graves, se pueden utilizar otros antifúngicos como anfotericina B o voriconazol.

Lee TambiénHistoplasma CapsulatumHistoplasma Capsulatum: El Hongo Causante De La Histoplasmosis

Prevención: Debido a que Blastomyces dermatitidis se encuentra en suelos húmedos y ricos en materia orgánica, se recomienda evitar actividades al aire libre en áreas con estas características, especialmente en días secos y ventosos. También es importante usar equipo de protección personal, como mascarillas y guantes, al manejar materiales orgánicos y al realizar actividades que puedan exponer a la persona a este hongo.

¿En qué regiones geográficas se encuentra comúnmente el hongo causante de la blastomicosis?

El hongo causante de la blastomicosis, conocido como Blastomyces dermatitidis, se encuentra comúnmente en regiones de América del Norte, especialmente en el este de los Estados Unidos y en Canadá. En estos lugares, el hongo vive en el suelo y en materia orgánica en descomposición como hojas y ramas. También se ha reportado casos de blastomicosis en algunas regiones de África y América Latina, aunque es menos común. Es importante señalar que la blastomicosis no se transmite de persona a persona, sino que se adquiere por inhalación de las esporas del hongo presentes en el aire.

Consecuencias de la infección no tratada con Blastomyces dermatitidis en humanos y animales

Blastomyces dermatitidis es un hongo patógeno que causa una infección conocida como blastomicosis en humanos y animales. Si no se trata adecuadamente, la infección puede tener graves consecuencias en la salud.

En los humanos, los síntomas de la infección pueden variar desde leves hasta graves, incluyendo fiebre, tos, dolor en el pecho, fatiga y pérdida de peso. En casos graves, la infección puede diseminarse a otros órganos del cuerpo, como los pulmones, el cerebro y los huesos, lo que puede provocar daño permanente e incluso la muerte.

En los animales, especialmente en perros, la infección puede ser aún más grave. Los síntomas incluyen fiebre, pérdida de apetito, debilidad y dificultad para respirar. Si la infección no se trata, puede provocar una insuficiencia respiratoria grave y la muerte.

Además, la infección por Blastomyces dermatitidis puede ser difícil de diagnosticar debido a que sus síntomas son similares a los de otras enfermedades. Por lo tanto, es crucial buscar atención médica o veterinaria si se sospecha de una infección por blastomicosis.

¿Cómo afecta la blastomicosis a los pulmones y otros órganos del cuerpo?

La blastomicosis es una infección fúngica que puede afectar los pulmones y otros órganos del cuerpo. La enfermedad es causada por la inhalación del hongo dimórfico Blastomyces dermatitidis, el cual se encuentra en el suelo y en las hojas en descomposición de algunos árboles.

Una vez inhalado, el hongo puede desarrollarse en los pulmones y causar síntomas similares a los de la neumonía, como tos, fiebre, escalofríos y dificultad para respirar. Sin embargo, la enfermedad también puede afectar otros órganos del cuerpo, como la piel, los huesos, el sistema nervioso y los genitales.

Lee TambiénParacoccidioides BrasiliensisParacoccidioides Brasiliensis: El Hongo Causante De La Paracoccidioidomicosis

En algunos casos, la blastomicosis puede ser grave y poner en peligro la vida, especialmente en personas con sistemas inmunológicos debilitados. El diagnóstico temprano y el tratamiento adecuado con medicamentos antifúngicos pueden ayudar a prevenir complicaciones y mejorar el pronóstico.

Es importante tomar medidas preventivas al trabajar o realizar actividades al aire libre en áreas donde se sabe que el hongo está presente. Estos incluyen usar equipo de protección personal, evitar la inhalación de polvo y humo, y mantener una buena higiene personal.

Conclusión

En conclusión, Blastomyces dermatitidis es un hongo dimórfico que puede causar enfermedades graves en humanos y animales. La blastomicosis es una infección fúngica que se presenta principalmente en áreas geográficas específicas, y a menudo se confunde con otras enfermedades respiratorias.

Es importante destacar que el diagnóstico temprano y el tratamiento adecuado son cruciales para prevenir complicaciones graves de la enfermedad. Además, los profesionales de la salud deben estar informados sobre la blastomicosis y familiarizados con las áreas geográficas donde se presenta con mayor frecuencia.

¡Comparte este artículo y únete a la conversación!

¿Te ha resultado interesante este artículo sobre Blastomyces dermatitidis y la blastomicosis? ¡Genial! No dudes en compartirlo en tus redes sociales y deja tus comentarios.

Si quieres seguir aprendiendo sobre biología y otros temas relacionados, te invitamos a explorar nuestro sitio web y seguirnos en nuestras redes sociales. ¡No te pierdas nuestras próximas publicaciones!

Si tienes alguna pregunta o sugerencia, no dudes en ponerte en contacto con nosotros a través del formulario de contacto o enviándonos un correo electrónico. ¡Estaremos encantados de saber de ti!

Lee TambiénPenicillium MarneffeiPenicillium Marneffei: El Hongo Causante De La Peniciliosis

Deja una respuesta

Tu dirección de correo electrónico no será publicada. Los campos obligatorios están marcados con *